健康教育

孩子“丑小鸭期”出现门牙缝隙怎么办?

2022-01-10


5-6岁开始,一些小盆友还没换牙就开始出现“牙列稀疏”!其实,家长们不用过于担心,那是因为他们骨头的生长日益显著,而乳牙齿大小则从3岁萌出完全后就不再改变。


图片

乳牙后期牙列散在间隙


等到开始换牙,好不容易长出两颗大门牙,以为情况有所改善,却在两牙中间发现了牙缝——孩子的“丑小鸭”时期正式来临。

这时候家长们开始焦虑:纠结要不要提前干预,把门牙的缝关上?


图片



图片

在引起焦虑之前,我们先来了解下出现门牙缝的可能原因有哪些,是否要处理?




替牙期正常生理现象

1.替牙期正常生理现象


牙齿替换的时期又叫“丑小鸭期”,顾名思义,在这个时期小朋友们的牙齿常表现为参差不齐。上面两颗正中的大门牙,由于旁边的2号牙齿还没有替换完全导致门牙出现中缝。




图片


因为2号牙会挤压1号牙的牙根,出现1号牙的头部(牙冠)和脚部(牙根)往不同方向倾斜,最终导致两颗1号牙之间出现了缝隙。





图片

生理性门牙间隙随着萌出的2号牙变小甚至消失




一般来说,两颗大门牙的缝隙在旁边四颗牙替换后会减小至无。可以简想成,旁边四颗替换好的牙比乳牙大,就挤占了原有门牙缝隙。






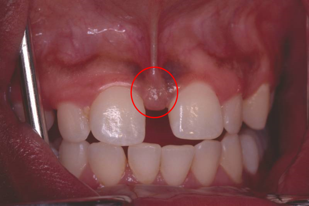
系带位置异常

2.系带位置异常


上唇系带是指在上唇内面的正中线上,分别从上口唇连于牙龈基部的细索状结构。(学术性定义,请看大图~)它一般就位于门牙正中上方的牙龈处。




图片

口腔内系带


当唇系带附着在牙龈的地方很靠近牙齿时,那一块的软组织就会比较坚韧,跨于门牙缝当中,相当于给两颗门牙后期相遇增加了阻力。




图片

上唇系带附着异常导致门牙间隙



当门牙旁边四颗牙已萌出,且上唇系带出现上述情况(系带附着位置异常)时,就果断去口腔科就诊吧。医生会给附着异常的上唇系带做个门诊小手术,解除阻碍,再通过加正畸治疗,关闭前牙的缝隙。




图片

上唇系带成形术



多生牙

3.多生牙


多生牙顾名思义就是多出来不该有的牙齿。最常见于在两颗大门牙之间。




图片

门牙间多生牙



有时候肉眼无法判断,就需要拍摄X线片,辅助检查。



图片

上门牙间多生牙X线片




两颗本应该相邻的牙齿之间多了一颗牙齿,中间当然会出现缝隙。若是多生牙导致门牙缝隙,建议拔除多生牙后矫正关闭牙缝。

不过由于各种原因,等到牙齿全部换完,门牙缝隙还留着的也大有人在,有些还是唱歌很棒的歌手~(牙缝宽唱歌就好?奇怪的知识增加了呢~)




作者介绍

图片

汤霞


正畸二科

毕业于上海交通大学

口腔正畸学硕士


于上海交通大学附属第九人民医院接受正畸专业系统理论和临床操作的培训,以第一作者发表多篇SCI及国内核心期刊论文。


美国Invisalign隐适美认证医师。多次参加全国口腔正畸年会、儿童早期矫正等国内外正畸学术会议。掌握功能矫治、固定矫治和无托槽隐形矫治技术等。


主诊:儿童、青少年及成人各类错颌畸形的诊疗。包括牙齿不齐、牙列拥挤、开唇露齿,双颌前突、下颌后缩、地包天,儿童口呼吸等不良习惯造成的颜面失调,个别牙缺失或修复前正畸治疗等。


图片

 欢迎扫码咨询 



参考文献 

1.M.E. DIAZPIZÁN. 1237 Morphology and Attachment of the Upper Labial Frenum and its Correlation with the Maxillary Central Diastema in Children from 0 to 6 Years of Age[J]. cancer causes & control, 2014, 25(12):1603-1613.

2.邹玉春, 许潾于, 钟泉. 上唇系带附着异常及其治疗方法研究进展[J]. 中国实用口腔科杂志, 2018, 011(008):504-508.

3.Jonathan P T , Thakur H , Galhotra A , et al. Maxillary labial frenum morphology and midline diastema among 3 to 12-year-old schoolgoing children in Sri Ganganagar city: A cross-sectional study[J]. Journal of Indian Society of Pedodontics and Preventive Dentistry, 2018, 36(3):234.

4.Díaz-Pizán, María E, Lagravère, Manuel O, Villena R . Midline Diastema and Frenum Morphology in the Primary Dentition[J]. Journal of Dentistry for Children, 2006.

图片来自网络,如有侵权请联系删除。