健康教育

下巴前伸、瘪嘴内凹...如何预防孩子长成“月亮脸”?

2021-05-03

你有没有发现:有些孩子的长相,从正面看还算不错,但侧面却非常扁平、瘪嘴内凹、甚至下巴向前伸,看起来侧脸很像弯弯的月牙?


这种脸型,很有可能是因为牙齿“地包天”。这种情况,不仅影响孩子的咬合咀嚼,更会逐渐影响孩子的颌骨发育,最终让相貌也变得越来越不好看。


图片

图片来源:soogif



01

地包天影响颜值

咬合不正加重牙齿磨损


地包天是下前牙在上前牙的前面,从侧面看,就是月牙形状的脸。


地包天不仅不美观,在学校里还可能会因为地包天被同学取外号,让原本开朗自信的孩子变得自卑;


大多数地包天患者由于后牙与食物的接触面积的减少,导致咀嚼能力的下降,会加重肠胃的负担;


地包天会导致牙齿无法咬合,会加重牙齿的磨损损,同时吞咽也会比普通人困难。


图片



02

形成地包天的原因有哪些?

不良的习惯是罪魁祸首


地包天的形成往往有很多因素,但凡出现其中一种家长们都要重视起来:


01

遗传

如果父母其中一人有地包天,子女地包天的概率会很高。


02

喂养方式不对

给孩子喂奶时,奶瓶如果抬得很高,宝宝需要下颌用力向前伸吮吸,久而久之就会造成乳牙反颌。


03

不良口腔习惯

习惯性伸舌、吮指、咬上唇、下颌前伸等。


图片来源:soogif


04

龋齿

儿童的乳磨牙如果有龋齿,就有可能依赖前牙咀嚼,造成下颌不自觉的前伸,形成反颌。



03

如何预防地包天?


●如果孩子出现不良的口腔习惯,如咬上唇、吃手指、咬铅笔等,一定要及时纠正,避免下颌过度发育;


●注意观察孩子牙齿的生长状况,一旦发现不对劲,就要去口腔医院进行检查,做到早发现早治疗;


●如果孩子还小,喂奶时不用让孩子仰着吃奶,喂奶方式可以斜靠着或者竖着。


图片

图片来源:logosc


04

地包天别等换牙再矫治

越早干预少受罪


在孩子出生一个月后就可以进行口腔检查,可以每隔三个月检查一次,这样医生可以清楚孩子牙齿发育的情况,出现问题也能更早的发现。


最佳治疗年龄:3-5岁,由于这时候恒牙还没出现,乳牙牙根还没消失,一般只需要佩戴活动矫治器、纠正不良的口腔习惯,3-6个月就可以治好。如果超过这个年龄也没关系,越早治疗越不容易“受罪”。


很多时候,家长发现孩子有地包天的情况,总想换牙结束再去矫正。但实际上,换牙后的矫正难度会更大,矫正时间也更长,而且对面部的改善不会很明显,严重的还需要进行手术治疗。


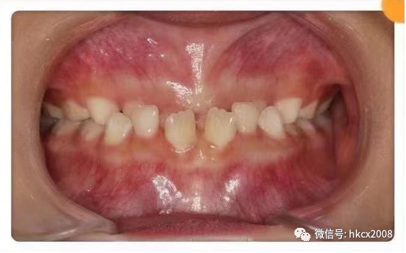
图片

矫治前

图片

矫治后


不想孩子越长越丑、将来出现更多的口腔问题,家长一定要注意牙齿的生长情况,定期带孩子去口腔医院进行检查,做到早发现早治疗哦!